Alineadores Transparentes

Inicio - Alineadores Transparentes
Alineadores Transparentes en Madrid y las Tablas

Especialistas en Ortodoncia Invisible en Madrid

AVANCE TECNOLÓGICO EN ORTODONCIA MODERNA

Alineadores Transparentes: Eficiencia y Discreción

En Prieto&Serrano, nos especializamos en ortodoncia invisible, una solución estética y conveniente para quienes desean mejorar su sonrisa discretamente. Nuestros alineadores transparentes, diseñados a medida, se integran perfectamente en tu vida diaria, permitiendo un tratamiento efectivo sin alterar tu imagen. Son removibles, facilitando la alimentación y limpieza dental, y están fabricados con tecnología avanzada para garantizar comodidad y precisión.

Con nuestros tratamientos personalizados, cada sonrisa recibe el cuidado que merece, mejorando no solo su apariencia sino también tu confianza. Elige la ortodoncia invisible en Prieto&Serrano y transforma tu sonrisa con discreción y eficacia.

PRECISIÓN DIAGNÓSTICA EN ORTODONCIA INVISIBLE

Soluciones Discretas con Excelentes Resultados

En Prieto & Serrano, la precisión diagnóstica es la base de nuestros tratamientos. Utilizamos avanzadas herramientas de diagnóstico, para obtener una visión completa y detallada de la estructura dental y facial de nuestros pacientes. Esta información precisa nos permite diseñar alineadores transparentes que se ajustan perfectamente a las necesidades individuales de cada paciente, asegurando una intervención efectiva y discreta.

La precisión en el diagnóstico nos ayuda a identificar y abordar las necesidades estéticas y funcionales de la ortodoncia, asegurando que cada ajuste contribuye tanto a la estética como a la salud bucal integral. Este compromiso con la exactitud mejora la eficacia del tratamiento y la comodidad y satisfacción del paciente, ofreciendo resultados que son tanto visibles como duraderos.

My Showreel

La revolución de los Alineadores dentales

Beneficios de la Ortodoncia Invisible

  • Discreción durante el tratamiento, una solución estética superior.

  • Comodidad ajustable: no irritan las encías ni el interior de la boca.

  • Alineadores removibes para facilitar la alimentación y limpieza.

  • Menos visitas al ortodoncista: requieren menos ajustes que los brackets.

  • Visualización del progreso y la proyección en tiempo real.

  • Menor impacto en el habla que otros dispositivos ortodónticos.

  • Protección contra el desgaste dental gracias a la alineación dental.

  • Sin partes metálicas se reduce el riesgo de traumatismos dentales.

La revolución de los Alineadores dentales

Beneficios de la Ortodoncia Invisible

  • Discreción

    La Ortodoncia Invisible permite una discreción total durante el tratamiento y requiere menos ajustes que los brackets

  • Comodidad

    No irritan las encías ni el interior d la boca siendo además removibles para facilitar la alimentación y limpieza y teniendo un menor impacto en el habla

  • Protección

    Ofrece una gran protección contra l desgaste dental y minimiza el riesgo de traumatismos dentales al no tener partes metálicas

Evitando los Riesgos de los Alineadores Transparentes No Supervisados

La Importancia de un Diagnóstico Profesional en la Ortodoncia Invisible

¿Por Qué es Crucial un Diagnóstico Preciso? Un diagnóstico preciso realizado por especialistas capacitados es esencial para asegurar que el tratamiento de ortodoncia invisible no solo sea efectivo, sino también seguro. En Prieto & Serrano, utilizamos avanzadas técnicas de diagnóstico, incluyendo escaneos 3D y radiografías detalladas, para comprender completamente la estructura dental y facial antes de recomendar un tratamiento. Esta evaluación profunda nos permite personalizar los alineadores a la medida exacta de tus necesidades, asegurando resultados óptimos y saludables.

Riesgos de los Alineadores Comprados por Internet Los alineadores transparentes adquiridos por internet sin supervisión profesional pueden representar significativos riesgos para tu salud bucodental:

  • Ajuste Incorrecto: Alineadores mal ajustados pueden causar dolor, irritación y movimientos dentales no planificados.
  • Problemas de Salud Dental Ignorados: Sin un examen dental completo, problemas subyacentes como caries o enfermedades de las encías pueden pasar desapercibidos y agravarse.
  • Falta de Seguimiento: La ausencia de seguimiento regular por un ortodoncista puede resultar en complicaciones a largo plazo, incluyendo pérdida de dientes.
  • Resultados Estéticos Pobres: Sin la precisión de un diagnóstico profesional, los resultados estéticos pueden ser insatisfactorios, afectando negativamente tu sonrisa y autoestima.

Consejos para Elegir un Tratamiento Seguro y Eficaz

  • Consulta a Profesionales Cualificados: Siempre busca el consejo y tratamiento de ortodoncistas con credenciales y experiencia reconocidas.
  • Evita Soluciones Rápidas: Desconfía de las ofertas que prometen resultados rápidos y baratos sin evaluaciones en persona.
  • Invierte en Calidad y Seguridad: Considera que una inversión en ortodoncia es una inversión en tu salud y bienestar a largo plazo.

En Prieto & Serrano, nos comprometemos a ofrecerte una experiencia de ortodoncia segura, personalizada y profesional. Asegúrate de que tu camino hacia una sonrisa perfecta sea supervisado por expertos que priorizan tu salud y satisfacción.

Descubre las etapas del tratamiento

Fases del Tratamiento con Alineadores Transparentes

01
Evaluación Detallada y Diagnóstico Ortodóntico

Análisis Clínico y Radiográfico

La primera etapa comprende un análisis detallado del estado actual de la dentadura mediante imágenes radiográficas, impresiones dentales de alta precisión y fotografías intraorales y extraorales. Este diagnóstico permite identificar desalineaciones específicas y planificar el enfoque ortodóntico más eficiente utilizando software de simulación 3D.
RESERVA TU CONSULTA DIAGNÓSTICA
02
Diseño y Fabricación de Alineadores a Medida

Uso de Tecnología CAD/CAM

Basándonos en el diagnóstico inicial, empleamos software de diseño asistido por computadora (CAD) para crear una progresión de alineadores personalizados. Cada juego de alineadores se fabrica utilizando tecnología de impresión 3D, lo que garantiza una adaptación precisa a la morfología dental del paciente.
CONSULTA SOBRE TUS ALINEADORES
03
Implementación y Ajuste de Alineadores

Inducción al Tratamiento

En esta fase, el paciente recibe sus alineadores transparentes y se le instruye sobre cómo colocarlos, retirarlos y cuidarlos correctamente para maximizar la eficacia del tratamiento. El paciente debe usar los alineadores 22 horas al día, cambiándolos cada 1-2 semanas según la evolución del tratamiento.
PROGRAMA TU INICIO DE TRATAMIENTO
04
Evaluaciones Ortodónticas Periódicas

Monitoreo y Revisión

Se programan visitas regulares cada 4-6 semanas para evaluar el progreso mediante técnicas de imagen avanzada y ajustar el plan de tratamiento según sea necesario. Este seguimiento continuo es esencial para asegurar que los alineadores están funcionando según lo previsto y ajustarlos para optimizar resultados.
RESERVA TU REVISIÓN PERIÓDICA
05
Conclusión del Tratamiento con Alineadores

Evaluación Final

Una vez completada la serie prevista de alineadores y alcanzada la alineación deseada, se realiza una evaluación final para confirmar los resultados y realizar ajustes menores si es necesario. Este paso asegura que los objetivos ortodónticos se han cumplido con precisión.
CONCIERTA TU EVALUACIÓN FINAL
06
Retención y Estabilización Post-Tratamiento

Fase de Retención

Para evitar el desplazamiento de los dientes y mantener los resultados a largo plazo, se fabrican retenedores personalizados. Esta fase de retención es crítica y requiere el uso continuo de los retenedores según las indicaciones del ortodoncista para preservar la estabilidad de la nueva alineación dental.
PROGRAMA TU CITA DE RETENCIÓN
Conoce a nuestros

Expertos en Ortodoncia Invisible

FE SERRANO

DIRECTORA MÉDICA

JAVIER PRIETO

DIRECTOR MÉDICO

DAVID CASTELLANOS

ORTODONCISTA

Alternativas a la ortodoncia con alineadores dentales transparentes

Otros Tratamientos de Ortodoncia

Brackets de Autoligado

Los brackets de autoligado utilizan un mecanismo de cierre incorporado para sostener el arco, eliminando la necesidad de ligaduras elásticas. Esto permite un movimiento dental más eficiente y puede reducir el tiempo de tratamiento.

Brackets estéticos

Estos brackets están hechos de zafiro transparente, lo que los hace menos visibles en los dientes. Son una opción popular para adultos y adolescentes preocupados por la estética durante el tratamiento ortodóncico.

Brackets linguales

Los brackets linguales se colocan en la parte interna de los dientes, haciéndolos invisibles desde el exterior. Aunque su colocación es más técnica, son efectivos para tratar una amplia gama de maloclusiones, ofreciendo la opción más discreta.

¡NO ESPERES MÁS!

Primera Visita con Estudio y Valoración Gratuita

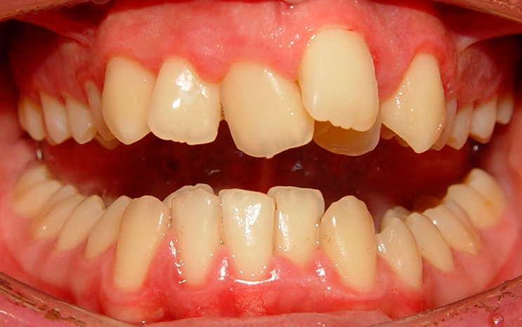
Problemas comunes que soluciona la ortodoncia

Tipos de Maloclusiones Dentales

Apiñamiento

El apiñamiento dental es es uno de los problemas más comunes y puede complicar la higiene, aumentando el riesgo de caries y problemas de encías. La corrección temprana mejora tanto la estética como la salud oral, facilitando una mejor limpieza y una sonrisa más alineada.

Diastema

Espacios visibles entre los dientes pueden afectar la estética y función dental, especialmente críticos durante la edad adulta. Tratar el diastema no solo mejora la apariencia, sino que también optimiza la masticación y aumenta la confianza en sí mismos.

Mordida Cruzada

Una mordida cruzada implica que los dientes superiores muerden por dentro de los inferiores, causando desgaste y posibles problemas de mandíbula. Corregir esta condición a tiempo previene complicaciones futuras y mejora la alineación y función dental.

Mordida Abierta

Frecuentemente originada por hábitos prolongados, la mordida abierta puede comprometer significativamente la masticación y el habla en adultos. La corrección no solo restaura la funcionalidad oral , sino que mejora la comunicación y la autoestima.

Sobremordida

Cuando los dientes superiores cubren excesivamente los inferiores, se produce una sobremordida que puede desgastar los dientes y aumentar la tensión en la mandíbula. Corregirla no solo mejora la función masticatoria, sino que también contribuye a una mayor armonía facial.

Maloclusión Clase II y III

Estas maloclusiones alteran la relación entre el maxilar y la mandíbula, impactando la estética facial y la función masticatoria. Corregir estos problemas no solo sirven para mejorar la mordida, sino que también mejoran el perfil facial, fortaleciendo la autoimagen.

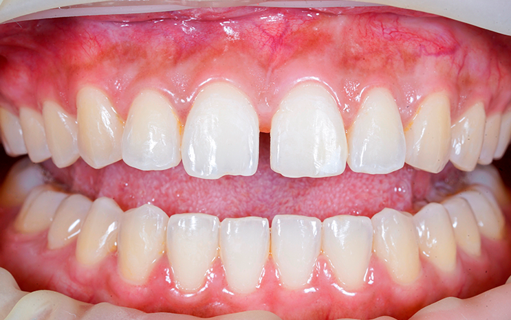
Descubre algunos de nuestros Casos de Éxito

El Cambio de Nuestros Pacientes

F.A.Q.

Preguntas Frecuentes

¿Cómo funcionan exactamente los alineadores transparentes?

Los alineadores transparentes son férulas removibles hechas a medida que se ajustan sobre los dientes. Funcionan aplicando una presión suave pero constante para mover los dientes gradualmente hacia la posición deseada. Cada juego de alineadores se usa por aproximadamente dos semanas antes de cambiar al siguiente, continuando el proceso hasta alcanzar la alineación final.

¿Son los alineadores transparentes tan efectivos como los brackets tradicionales?

Sí, en muchos casos, los alineadores transparentes pueden ser tan efectivos como los brackets para tratar una variedad de problemas ortodónticos, incluyendo apiñamiento, espaciamiento, y algunas maloclusiones. Sin embargo, la efectividad puede depender de la severidad del caso y de la adherencia del paciente al régimen de tratamiento.

¿Puedo comer con los alineadores puestos?

No es recomendable comer con los alineadores puestos. Para evitar dañarlos o ensuciarlos, debes retirarlos durante las comidas. Sin embargo, puedes beber agua con los alineadores puestos, aunque se aconseja evitar bebidas calientes o coloreadas que puedan deformarlos o mancharlos.

¿Cuánto tiempo debo llevar los alineadores cada día?

Los alineadores deben ser usados al menos 22 horas al día para obtener los mejores resultados. Deben retirarse solo para comer, beber algo que no sea agua, y para la rutina de higiene dental.

¿Qué sucede si pierdo un alineador?

Si pierdes un alineador, es importante contactar a tu ortodoncista de inmediato. Dependiendo del caso, te podrían recomendar volver al set anterior o avanzar al siguiente set mientras se reemplaza el perdido, para evitar retrasos en el tratamiento.

¿Cuánto tiempo dura típicamente un tratamiento con alineadores transparentes?

La duración del tratamiento varía según la complejidad de los ajustes necesarios y la adherencia del paciente al uso de los alineadores. En promedio, el tratamiento puede durar entre 12 y 18 meses, aunque algunos casos más simples o más complejos podrían requerir menos o más tiempo.

¿Cómo debo cuidar mis alineadores transparentes?

Debes limpiar tus alineadores regularmente con agua y un cepillo suave para evitar la acumulación de bacterias. No uses agua caliente, ya que puede deformar el plástico. Además, es importante guardarlos en su estuche cuando no los estés usando para evitar perderlos o dañarlos.

¿Los alineadores transparentes afectan el habla?

Algunas personas experimentan una leve afectación en su habla cuando comienzan a usar alineadores transparentes, generalmente en forma de un ligero ceceo. Sin embargo, este efecto es temporal y suele desaparecer a medida que te acostumbras a llevar los alineadores.

Información, Consejos y Recomendaciones

Últimos Artículos Sobre Ortodoncia para Adultos

Me dedico en exclusiva a la ortodoncia desde 1982, fecha de apertura de nuestro centro especializado en ortodoncia en Madrid.

  • Licenciada en Medicina y Cirugía por la Universidad Autónoma de Madrid en 1977.
  • Licenciada en Estomatología por la Universidad Complutense de Madrid en 1980.
  • Postgrado en ortodoncia por la U.C.M. en 1982.
  • Profesora Master de ortodoncia en la U.C.M. durante más de 20 años en el periodo 1984-2005.
  • Adjunto y Profesora Master de ortodoncia en Hospital San Rafael 1985-2005.
  • Curso en oclusión funcional y ortodoncia Roth Williams 1988-1991.
  • Miembro diplomado de la SEDO 1991.
  • Miembro diplomado de la Sociedad Española de Ortodoncia (SEDO) y Spanish Board of Orthodontics (SBO).
  • Miembro de la American Association of Orthodontist (AAO).
  • Miembro de la World Federation of Orthodontists (WFO).
  • Miembro de la Asociación Española de Especialistas en Ortodoncia (AESOR).

Licenciado en Odontología y especializado en Ortodoncia y Ortopedia Dentofacial por la Universidad Complutense de Madrid y el Hospital Infantil San Rafael. Es un apasionado de la especialidad y compagina la actividad docente con la formación continuada, asistiendo a cursos por todo el mundo.

  • Licenciado en Odontología por la Universidad Complutense de Madrid en 2002.
  • Postgrado en Ortodoncia y Ortopedia Dentofacial por la Universidad Complutense de Madrid en 2002-2005.
  • Diploma en Ortodoncia y Ortopedia Dentofacial por el Hospital Infantil de San Rafael en 2002-2005.
  • Postgrado FACE-Roth/Williams en Oclusión Funcional y Ortodoncia en 2006.
  • Premio Juan Carol de la Sociedad Española de Ortodoncia (SEDO) a la mejor comunicación en el año 2010.
  • Profesor del master de la Institución Universitaria Mississippi (Universidad Camilo José Cela) en colaboración con la University of Southern Mississippi en Madrid (2018 - actualidad).
  • Ortodoncista de práctica exclusiva en Madrid.
  • Miembro diplomado de la Sociedad Española de Ortodoncia (SEDO) y Spanish Board of Orthodontics (SBO).
  • Miembro de la American Association of Orthodontist (AAO).
  • Miembro de la World Federation of Orthodontists (WFO).
  • Miembro de la Asociación Española de Especialistas en Ortodoncia (AESOR).

Soy Yaiza Cuba, una odontóloga inquieta e incorformista ancada en Madrid, que se podría cruzar España, de Galicia a Barcelona o incluso el océano atlántico para formarme en los mejores centros universitarios de Odontopediatría para poder ofrecer a los más pequeños de la casa, los mejores tratamientos de salud buco-dental aplicados con el máximo cariño.

  • Licenciada en Odontología por la Universidad de Santiago de Compostela (USC).
  • Máster en Odontopediatría integral y hospitalaria por la Universidad Internacional de Cataluña (UIC).
  • Experta en odontología del bebé por la Faculdade de Odontologia da APCD (Sao Paulo).
  • Máster Universitario de Profesorado para formación profesional y bachillerato por la Universidad Alfonso X el Sabio (UAX).
  • Consultora Internacional de Lactancia Materna (IBCLC, L-305150).
  • Profesora asociada de Clínica Integrada Infantil del grado de Odontología de la Universidad Europea de Madrid.
  • Profesora del postgrado de Odontopediatría de la Universidad Alfonso X el sabio.
  • Profesora del máster de odontopediatría y ortodoncia interceptiva del CEU.
  • Profesora del Curso universitario de especialización en Medicina del sueño de la universidad Europea Miguel de Cervantes (UEMC) - ISNUT.
  • Profesora del Máster en Lactancia materna de la universidad Europea Miguel de Cervantes (UEMC) - ISNUT.
  • Directora del curso universitario de especialización en anquiloglosia del paciente pediátrico.
  • Miembro de la Sociedad Española de Odontopediatría (SEOP) (premio a mejor póster en 2015-2016).
  • Miembro de la Sociedad Española de Integrada Infantil (SEOII)(ponente del congreso nacional en 2022).
  • Autora de conferencias sobre Odontopediatría y Odontología del bebé en el ámbito nacional con distintas empresas de formación en odontología y colegios oficiales.
  • Divulgadora de contenido científico-dental en @dra_cuentadientes

Mi afán por dar lo mejor de mi en mi día a día en la clínica Prieto y Serrano de Madrid, me ha llevado también a formarme en lactancia, BLW, vías aéreas… por eso soy también consultora de lactancia (IBCLC) y especializada en odontología del Bebé con énfasis en anquiloglosia (frenillo lingual) para poder cubrir las necesidades básicas del paciente pediátrico más allá de los dientes, convencida de que el trabajo en
equipo, incluyendo a la familia, es la clave del éxito de nuestros tratamientos basándonos siempre en la prevención y la odontología de mínima invasión e intervención.

Poseo gran capacidad de trabajo en equipo, coordinación, planificación y dirección de los mismos. Disfruto con las relaciones personales, la comprensión y el trato con los niños es una de mis mejores habilidades.

  • Técnico de prótesis dental por la Opesa. Madrid.
  • Grado en Odontología por la Universidad Europea de Madrid.
  • Máster Endodoncia y Estética por la Institución Universitaria Mississippi.
  • Curso Rehabilitación Neuro-Oclusal.
  • Curso TADs en Ortodoncia impartido por la Dra. Mª Dolores Campoy, miembro de la Junta Directiva de la Sociedad Española de Ortodoncia (SEDO).
  • Máster de Ortodoncia y Ortopedia por la Institución Universitaria Mississippi.

Formo parte del equipo de Prieto&Serrano desde 2011, pero estoy ligado a esta clínica desde que tenia 3 años, pues la doctora Fe Serrano es la artífice de que hoy pueda lucir una estupenda sonrisa.

  • Título propio en Medicina Oral y Maxilofacial por la Universidad San Pablo CEU de Madrid en 2010.
  • Licenciado en Odontología por la Universidad San Pablo CEU de Madrid en 2010.
  • Curso de especialización de ortodoncia DIOC de 110 horas lectivas en 2011.
  • Máster de Ortodoncia y Ortopedia Dentofacial por la Universidad San Pablo CEU en 2013.
  • Postgrado Teórico-Práctico de 2 años de Ortodoncia Avanzada Multidisciplinar FACE en 2015.
  • Desde 2012 ortodoncia exclusiva en clínicas Prieto&Serrano.
  • Desde 2023 profesor en Máster de ortodoncia y ortopedia dentofacial Hospitales de Madrid-CEU
  • Desde 2012 asistencia continua a diferentes cursos de especialización : Reunion anual de la SEDO, SEDO de invierno, SEDO de alineadores, Simposio internacional de ortodoncia.

Me dedico en exclusiva a la ortodoncia desde 1982, fecha de apertura de nuestro centro especializado en ortodoncia en Madrid.

  • Licenciada en Medicina y Cirugía por la Universidad Autónoma de Madrid en 1977.
  • Licenciada en Estomatología por la Universidad Complutense de Madrid en 1980.
  • Postgrado en ortodoncia por la U.C.M. en 1982.
  • Profesora Master de ortodoncia en la U.C.M. durante más de 20 años en el periodo 1984-2005.
  • Adjunto y Profesora Master de ortodoncia en Hospital San Rafael 1985-2005.
  • Curso en oclusión funcional y ortodoncia Roth Williams 1988-1991.
  • Miembro diplomado de la SEDO 1991.
  • Miembro diplomado de la Sociedad Española de Ortodoncia (SEDO) y Spanish Board of Orthodontics (SBO).
  • Miembro de la American Association of Orthodontist (AAO).
  • Miembro de la World Federation of Orthodontists (WFO).
  • Miembro de la Asociación Española de Especialistas en Ortodoncia (AESOR).

Soy Yaiza Cuba, una odontóloga inquieta e incorformista ancada en Madrid, que se podría cruzar España, de Galicia a Barcelona o incluso el océano atlántico para formarme en los mejores centros universitarios de Odontopediatría para poder ofrecer a los más pequeños de la casa, los mejores tratamientos de salud buco-dental aplicados con el máximo cariño.

  • Licenciada en Odontología por la Universidad de Santiago de Compostela (USC).
  • Máster en Odontopediatría integral y hospitalaria por la Universidad Internacional de Cataluña (UIC).
  • Experta en odontología del bebé por la Faculdade de Odontologia da APCD (Sao Paulo).
  • Máster Universitario de Profesorado para formación profesional y bachillerato por la Universidad Alfonso X el Sabio (UAX).
  • Consultora Internacional de Lactancia Materna (IBCLC, L-305150).
  • Profesora asociada de Clínica Integrada Infantil del grado de Odontología de la Universidad Europea de Madrid.
  • Profesora del postgrado de Odontopediatría de la Universidad Alfonso X el sabio.
  • Profesora del máster de odontopediatría y ortodoncia interceptiva del CEU.
  • Profesora del Curso universitario de especialización en Medicina del sueño de la universidad Europea Miguel de Cervantes (UEMC) - ISNUT.
  • Profesora del Máster en Lactancia materna de la universidad Europea Miguel de Cervantes (UEMC) - ISNUT.
  • Directora del curso universitario de especialización en anquiloglosia del paciente pediátrico.
  • Miembro de la Sociedad Española de Odontopediatría (SEOP) (premio a mejor póster en 2015-2016).
  • Miembro de la Sociedad Española de Integrada Infantil (SEOII)(ponente del congreso nacional en 2022).
  • Autora de conferencias sobre Odontopediatría y Odontología del bebé en el ámbito nacional con distintas empresas de formación en odontología y colegios oficiales.
  • Divulgadora de contenido científico-dental en @dra_cuentadientes

Mi afán por dar lo mejor de mi en mi día a día en la clínica Prieto y Serrano de Madrid, me ha llevado también a formarme en lactancia, BLW, vías aéreas… por eso soy también consultora de lactancia (IBCLC) y especializada en odontología del Bebé con énfasis en anquiloglosia (frenillo lingual) para poder cubrir las necesidades básicas del paciente pediátrico más allá de los dientes, convencida de que el trabajo en
equipo, incluyendo a la familia, es la clave del éxito de nuestros tratamientos basándonos siempre en la prevención y la odontología de mínima invasión e intervención.

Me gradué en Odontología por la Universidad Complutense de Madrid. Tras ejercer la Odontología General realicé el posgrado en Ortodoncia en la Institución Universitaria Mississippi, donde tuve al Dr. Javier Prieto como mentor. En 2019 entré a formar parte del equipo Prieto&Serrano donde compagino la labor de ortodoncista con la docencia y la formación continuada, con especial interés en Ortodoncia Digital y nuevas tecnologías.

  • Graduado en Odontología por la Universidad Complutense de Madrid en 2014
  • Máster en Ortodoncia y Ortopedia Dentofacial por la Institución Universitaria Mississippi en 2019
  • Máster en Ortodoncia Plástica con Alineadores del Dr. Arturo Vela en 2021
  • Curso de especialista en Impresión 3D y Planificación Digital del Dr. Wenceslao Piedra en 2023
  • Profesor colaborador en la Institución Universitaria Mississippi desde 2024
  • Ponente en diferentes conferencias a nivel nacional
  • Miembro de la SEdO
  • Autor y coautor de diferentes artículos científicos en revistas nacionales e internacionales

Cursé mis estudios de Odontología en la Universidad Complutense de Madrid, finalizando en el año 2003. Posteriormente continué mi formación realizando el Máster en Odontopediatría en el Hospital Infantil San Rafael entre los años 2003 y 2005.

Mi vocación docente me llevó a ser profesora de Odontopediatría de la Universidad Rey Juan Carlos entre los años 2005 y 2011 e inmediatamente después, Coordinadora de la asignatura de Odontología Infantil en la Universidad Alfonso X el Sabio. Durante ese tiempo, realicé el Máster en Ciencias Odontológicas de 2006 a 2007 y el Máster de Cirugía Bucal e Implantes del Hospital Madrid de 2008 al año 2011.

  • Licenciada en Odontología por la Universidad Complutense de Madrid.
  • Postgrado en Odontopediatría en el Hospital Infantil de San Rafael.
  • Máster en Cirugía Bucal e Implantología en el Hospital de Madrid.
  • Doctora Cum Laude por la Universidad Alfonso X el Sabio.
  • Directora del Título de Experto en Odontopediatría de la Universidad Alfonso X el Sabio.
  • Profesora en Grado de Odontología en Clínica Integrada Infantil en La Universidad Alfonso X el Sabio.
  • Profesora de Odontopediatría e Integrada Infantil en la Universidad Rey Juan Carlos (2006-2011).

Me gradué en Odontología por la Universidad Complutense de Madrid. Tras ejercer la Odontología General realicé el posgrado en Ortodoncia en la Institución Universitaria Mississippi, donde tuve al Dr. Javier Prieto como mentor. En 2019 entré a formar parte del equipo Prieto&Serrano donde compagino la labor de ortodoncista con la docencia y la formación continuada, con especial interés en Ortodoncia Digital y nuevas tecnologías.

  • Graduado en Odontología por la Universidad Complutense de Madrid en 2014
  • Máster en Ortodoncia y Ortopedia Dentofacial por la Institución Universitaria Mississippi en 2019
  • Máster en Ortodoncia Plástica con Alineadores del Dr. Arturo Vela en 2021
  • Curso de especialista en Impresión 3D y Planificación Digital del Dr. Wenceslao Piedra en 2023
  • Profesor colaborador en la Institución Universitaria Mississippi desde 2024
  • Ponente en diferentes conferencias a nivel nacional
  • Miembro de la SEdO
  • Autor y coautor de diferentes artículos científicos en revistas nacionales e internacionales

Poseo gran capacidad de trabajo en equipo, coordinación, planificación y dirección de los mismos. Disfruto con las relaciones personales, la comprensión y el trato con los niños es una de mis mejores habilidades.

  • Técnico de prótesis dental por la Opesa. Madrid.
  • Grado en Odontología por la Universidad Europea de Madrid.
  • Máster Endodoncia y Estética por la Institución Universitaria Mississippi.
  • Curso Rehabilitación Neuro-Oclusal.
  • Curso TADs en Ortodoncia impartido por la Dra. Mª Dolores Campoy, miembro de la Junta Directiva de la Sociedad Española de Ortodoncia (SEDO).
  • Máster de Ortodoncia y Ortopedia por la Institución Universitaria Mississippi.

Formo parte del equipo de Prieto&Serrano desde 2011, pero estoy ligado a esta clínica desde que tenia 3 años, pues la doctora Fe Serrano es la artífice de que hoy pueda lucir una estupenda sonrisa.

  • Título propio en Medicina Oral y Maxilofacial por la Universidad San Pablo CEU de Madrid en 2010.
  • Licenciado en Odontología por la Universidad San Pablo CEU de Madrid en 2010.
  • Curso de especialización de ortodoncia DIOC de 110 horas lectivas en 2011.
  • Máster de Ortodoncia y Ortopedia Dentofacial por la Universidad San Pablo CEU en 2013.
  • Postgrado Teórico-Práctico de 2 años de Ortodoncia Avanzada Multidisciplinar FACE en 2015.
  • Desde 2012 ortodoncia exclusiva en clínicas Prieto&Serrano.
  • Desde 2023 profesor en Máster de ortodoncia y ortopedia dentofacial Hospitales de Madrid-CEU
  • Desde 2012 asistencia continua a diferentes cursos de especialización : Reunion anual de la SEDO, SEDO de invierno, SEDO de alineadores, Simposio internacional de ortodoncia.

Cursé mis estudios de Odontología en la Universidad Complutense de Madrid, finalizando en el año 2003. Posteriormente continué mi formación realizando el Máster en Odontopediatría en el Hospital Infantil San Rafael entre los años 2003 y 2005.

Mi vocación docente me llevó a ser profesora de Odontopediatría de la Universidad Rey Juan Carlos entre los años 2005 y 2011 e inmediatamente después, Coordinadora de la asignatura de Odontología Infantil en la Universidad Alfonso X el Sabio. Durante ese tiempo, realicé el Máster en Ciencias Odontológicas de 2006 a 2007 y el Máster de Cirugía Bucal e Implantes del Hospital Madrid de 2008 al año 2011.

  • Licenciada en Odontología por la Universidad Complutense de Madrid.
  • Postgrado en Odontopediatría en el Hospital Infantil de San Rafael.
  • Máster en Cirugía Bucal e Implantología en el Hospital de Madrid.
  • Doctora Cum Laude por la Universidad Alfonso X el Sabio.
  • Directora del Título de Experto en Odontopediatría de la Universidad Alfonso X el Sabio.
  • Profesora en Grado de Odontología en Clínica Integrada Infantil en La Universidad Alfonso X el Sabio.
  • Profesora de Odontopediatría e Integrada Infantil en la Universidad Rey Juan Carlos (2006-2011).

Licenciado en Odontología y especializado en Ortodoncia y Ortopedia Dentofacial por la Universidad Complutense de Madrid y el Hospital Infantil San Rafael. Es un apasionado de la especialidad y compagina la actividad docente con la formación continuada, asistiendo a cursos por todo el mundo.

  • Licenciado en Odontología por la Universidad Complutense de Madrid en 2002.
  • Postgrado en Ortodoncia y Ortopedia Dentofacial por la Universidad Complutense de Madrid en 2002-2005.
  • Diploma en Ortodoncia y Ortopedia Dentofacial por el Hospital Infantil de San Rafael en 2002-2005.
  • Postgrado FACE-Roth/Williams en Oclusión Funcional y Ortodoncia en 2006.
  • Premio Juan Carol de la Sociedad Española de Ortodoncia (SEDO) a la mejor comunicación en el año 2010.
  • Profesor del master de la Institución Universitaria Mississippi (Universidad Camilo José Cela) en colaboración con la University of Southern Mississippi en Madrid (2018 - actualidad).
  • Ortodoncista de práctica exclusiva en Madrid.
  • Miembro diplomado de la Sociedad Española de Ortodoncia (SEDO) y Spanish Board of Orthodontics (SBO).
  • Miembro de la American Association of Orthodontist (AAO).
  • Miembro de la World Federation of Orthodontists (WFO).
  • Miembro de la Asociación Española de Especialistas en Ortodoncia (AESOR).

Me dedico en exclusivamente a la ortodoncia desde 1982, fecha de apertura de nuestro centro especializado en ortodoncia en Madrid.

Desde mis comienzos como ortodoncista he impartido docencia en el Master de Ortodoncia, en primera instancia, en la Universidad Complutense de Madrid ,y tras ello en el Hospital Infantil de San Rafael hasta el año 2005.

Desde ese momento continué vinculada a la docencia como profesora de los cursos DIOC de formación en Ortodoncia Clínica, así como dictante de conferencias a nivel nacional e internacional. Siempre he creído que esta actividad es una forma excelente de compartir conocimientos con otros ortodoncistas y a la vez exige estar en constante formación.

Durante décadas, he realizado y supervisado el tratamiento ortodóncico a miles de niños y he contribuido, junto a los más prestigiosos ortodoncistas del mundo, a revolucionar la ortodoncia con tratamientos cada vez más eficaces y orientados a los pacientes, con objeto de hacer que sus experiencias sea cada vez más cómodas y divertidas.

Además, sigo creyendo en una forma diferente de hacer las cosas y tengo un nuevo reto: Ser la ortodoncia del siglo XXI